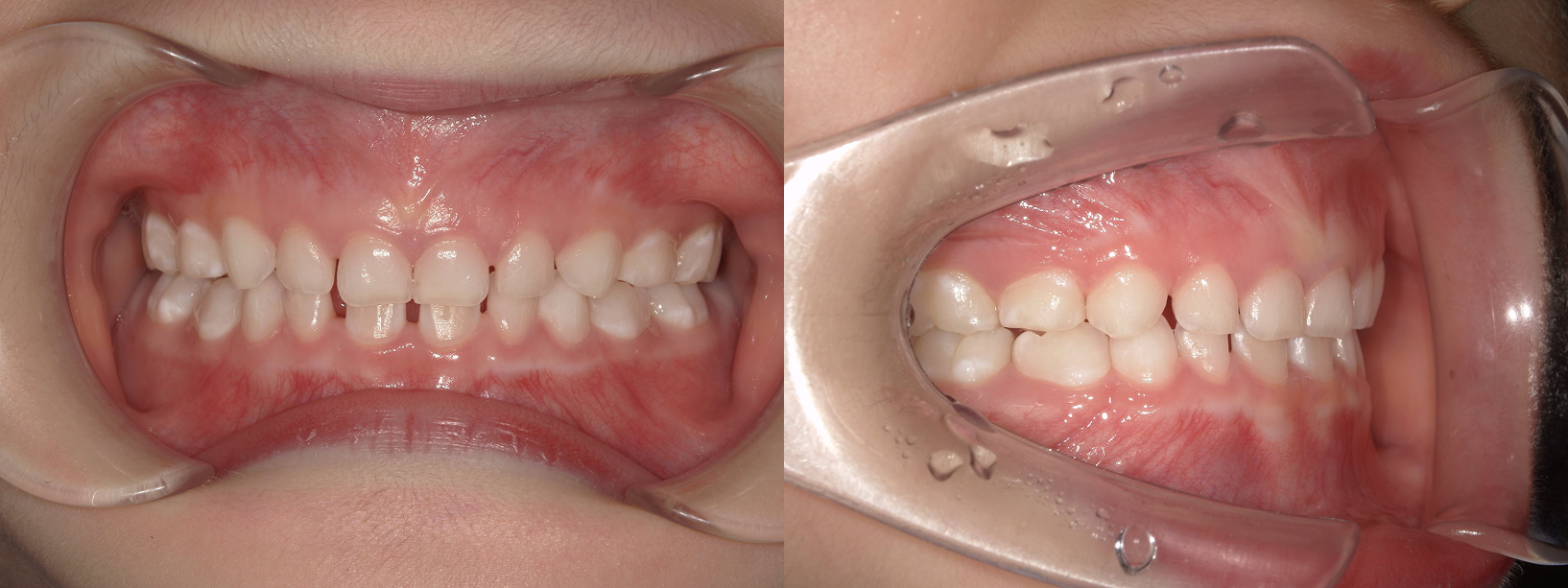
| 主訴 | 受け口が気になる |
|---|---|
| 診断名 | 反対咬合 |
| 年齢 | 6歳6ヶ月 |
| 抜歯部位 | 非抜歯 |
| 治療 方法 |
トレーナー治療(第1期矯正治療) |
| 治療 期間 |
約1年間(1.2ヶ月に1回通院) その後永久歯交換まで治療継続 |
| 治療費 | 495,000円(税込)+再診料(5,500円×通院回数) |
| 治療のリスク | 歯肉退縮 歯根吸収 歯髄壊死 痛み 治療後の後戻り |
小児矯正治療ページ|都営大江戸線「牛込神楽坂駅」A1出口徒歩3分|AOデンタルクリニック牛込神楽坂
小児矯正治療
Pediatric Orthodontic Treatment









